Tientallen jaren vruchtbare samenwerking met tandarts dr. Hans Scholtanus is absoluut iets om bij stil te staan. We vierden dat op 28 maart 2025 met een diner vlakbij de plek waar hij zich in 1983 als tandarts vestigde, aan de Kerkbuurt te Wergea, bij ‘Oan Tafel’.
Van 2010 tot 2025 was zijn praktijk gevestigd in Leeuwarden. In 2016 promoveerde hij tot doctor in de Geneeskunde en Daniël van der Meulen was één van de twee paranimfen.
Naast het werk als all-round tandarts hebben esthetische behandelingen en behandeling van gebitsslijtage zijn bijzondere belangstelling. Als lid van ons auto-transplantatie-team bouwt hij getransplanteerde kiesjes om tot de mooiste tanden!
Hans, hartelijk bedankt voor vele jaren fijne en collegiale samenwerking! Geniet samen met Diana van meer vrije tijd, nu je in Leeuwarden met pensioen gegaan bent.




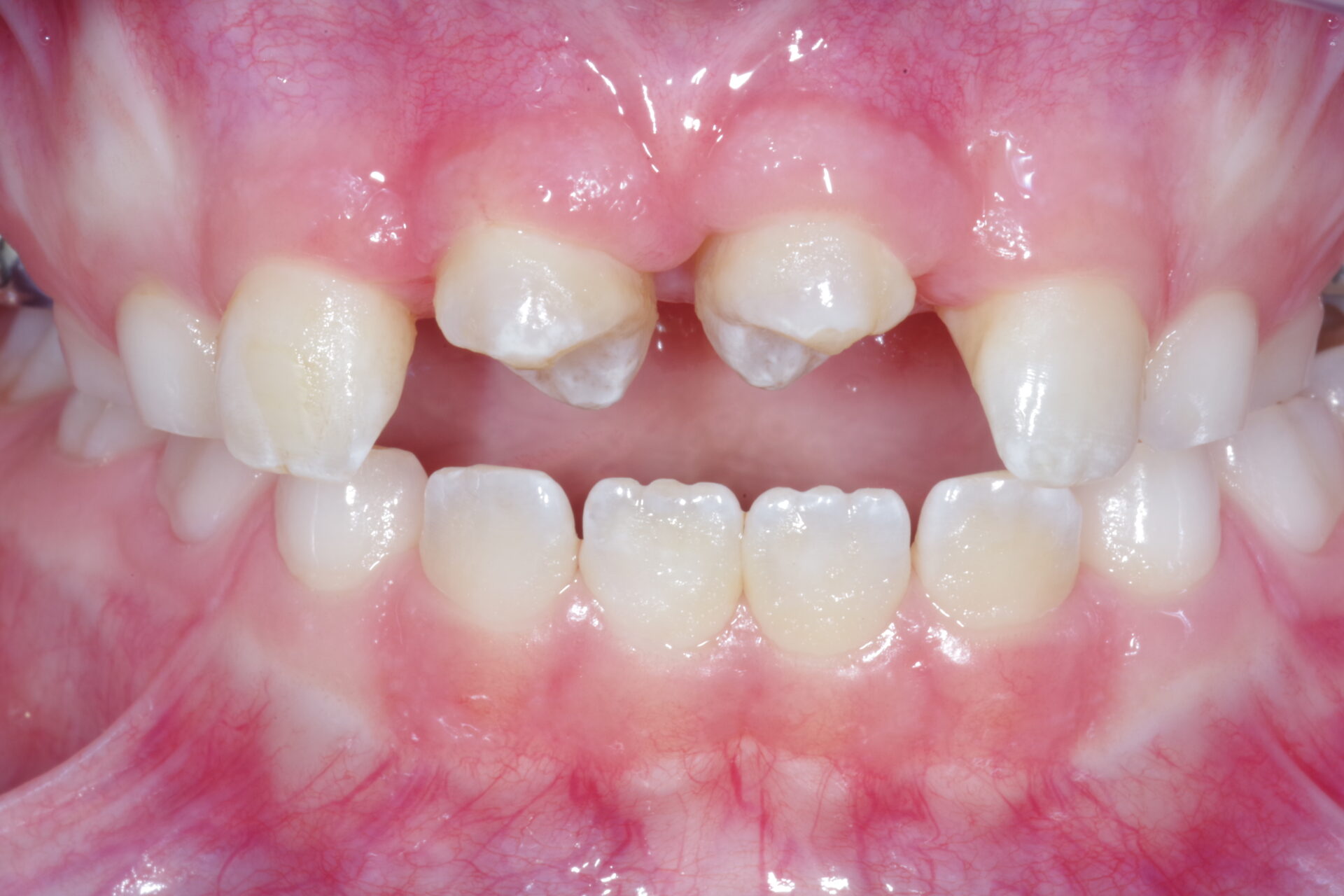
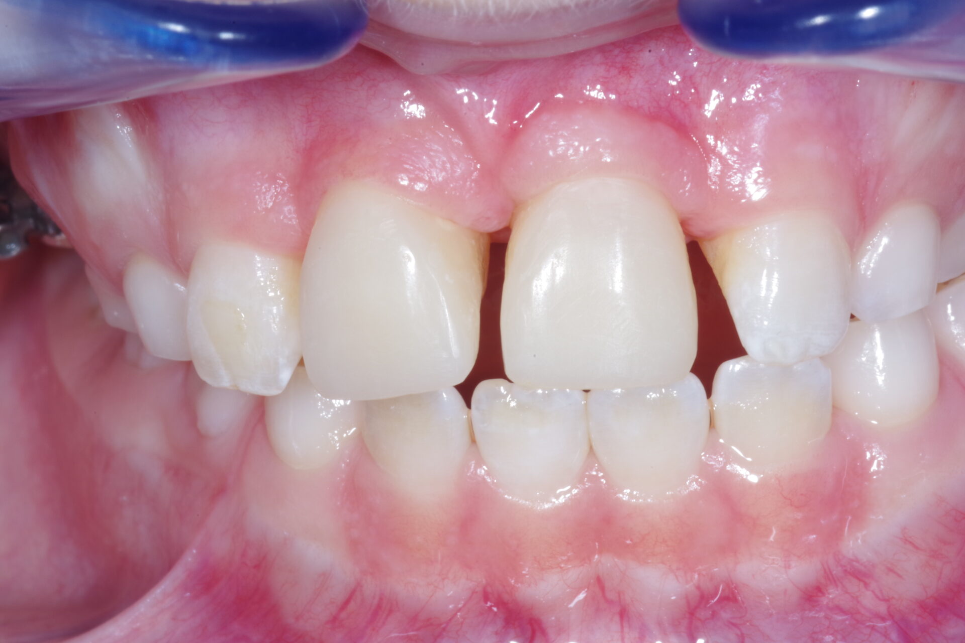
Voorbeeld van het opbouwen van getransplanteerde kiesjes tot mooie voortanden met behulp van composiet door dr. Hans Scholtanus.
Meer informatie over deze behandeling met auto-transplantatie vindt u hier op onze website.


Voorbeeld van het opbouwen van voortanden die van zichzelf niet de normale vorm hebben. Met een beugel kunnen wij ze wel in de rij zetten, maar dan is het nog niet echt mooi.
Deze tanden zijn opgebouwd met composiet door dr. Hans Scholtanus. Deze jongen kon daarna echt breeduit lachen.
Meer informatie over schisis-behandelingen vindt u hier op onze website.