Als de verhouding tussen boven- en onderkaak niet correct is, kan tijdens de groei hierin nog bijgestuurd worden met orthodontie.
Als de groei voorbij is, zoals bij volwassenen, kan orthodontie dat niet alleen. Dan is hulp nodig van de kaakchirurg. Wij werken daartoe intensief samen met de MKA-chirurgen (kaakchirurgen) van Frisius Medisch Centrum Leeuwarden in een Osteotomie-team.
Vaak begint dit traject met een advies tijdens het eerste consult.
De orthodontist die uw wensen inventariseert en de verhoudingen van gebit en kaken bestudeert, kan u adviseren om een operatieve kaak-correctie te overwegen als behandel-optie.
Als dit voor u bespreekbaar is, volgt eerst nog een vervolg-afspraak bij de orthodontist om ‘documentatie’ te maken. Dat betekent een scan van uw gebit, lichtfoto’s en röntgenfoto’s. De orthodontist zorgt ervoor dat de kMKA-chirurgen ook deze (röntgen)foto’s ter beschikking krijgen en laat de scan van het gebit uitprinten in 3D en neemt dat 3D model mee naar Frisius MC Leeuwarden.
Wij beheren de agenda van het speciale spreekuur hiervoor, dat heet het Osteotomie-spreekuur.

Osteostomie-spreekuur
Als een kaakoperatie (osteotomie) in uw geval een oplossing kan bieden, krijgt u een afspraak op ons gezamenlijke Osteotomie-spreekuur op een vrijdagochtend in Frisius Medisch Centrum Leeuwarden.
Op dit spreekuur is de orthodontist aanwezig en ook dr. Anne van Leeuwen en/of dr. Artur Matthews-Brzozowski, MKA-chirurgen van de afdeling Mondziekten, kaak- en aangezichtschirurgie.
Die afdeling is ook de locatie van het spreekuur. De agenda van deze spreekuren wordt beheerd door de receptie van onze praktijk.


Wat gebeurt er op het osteotomie-spreekuur?
U krijgt op dit gecombineerde spreekuur informatie over de mogelijkheden, de procedures en de eventuele risico’s van een gecombineerde orthodontische-kaakchirurgische behandeling.
Zelf kunt u ook vragen wat u wilt weten. Neemt u gerust iemand mee, want twee onthouden meer dan één. (Tip: schrijf uw vragen van tevoren op.)
Het bezoeken van dit speciale spreekuur verplicht u uiteraard niet tot een osteotomie! Maar u kunt daarna goed geïnformeerd zelf een beslissing nemen.
Chirurgische kaakcorrectie
Een chirurgische kaakcorrectie is een methode om een afwijkende stand van de kaak door een operatie te corrigeren. Met deze methode wordt een functioneel evenwicht bereikt tussen de kauwspieren, de rij tanden en kiezen van de onder- en bovenkaak, de luchtwegen en de gelaatsuitdrukking.
Om dit resultaat te krijgen worden vaak eerst de tanden en kiezen “in de rij” gezet door enige tijd een beugel te dragen. Deze beugel wordt door de orthodontist aangebracht. Ook tijdens en na de operatie moet de beugel vaak nog enige tijd worden gedragen totdat het operatieresultaat de nodige stabiliteit bereikt heeft. Bij de behandeling zijn een orthodontist en een MKA-chirurg betrokken. Deze behandeling wordt dus in teamverband voorbereid en uitgevoerd. De gehele orthodontisch-chirurgische behandeling duurt ongeveer anderhalf tot twee jaar. De operatie vindt plaats tijdens de orthodontische behandeling, op ongeveer 2/3 ervan.
Aanvraag bij uw zorgverzekeraar
Na afloop van het gezamenlijk spreekuur kan door de MKA-chirurg een aanvraag worden gedaan voor vergoeding van de kosten van de kaakoperatie uit de basisverzekering. De orthodontist kan na dit spreekuur een aanvraag indienen bij uw zorgverzekeraar, om de orthodontische behandeling uit de basisverzekering vergoed te krijgen.
De adviserend tandarts van uw zorgverzekeraar beslist of u in aanmerking komt voor 100% vergoeding of niet. Het komt ook voor dat besloten wordt om wel de kaakoperatie 100% te vergoeden, maar de orthodontie niet. Dat is natuurlijk niet logisch, maar kan de verzekeraar wel beslissen. In dat geval zult u de kosten voor orthodontie zelf moeten dragen als u kiest voor de gecombineerde behandeling. De verzekeraar beschouwt dan de kosten voor orthodontie als ‘uw eigen bijdrage’ aan de totale behandeling.
Operatiemethoden
Het soort operatie dat uitgevoerd moet worden is afhankelijk van de stand van de kaak. In alle gevallen moet daarbij een snede in het bot worden gemaakt voordat de kaak of een deel ervan kan worden verschoven.
Dit heet een osteotomie, osteo = bot en tomie = snijden.
Op welke manieren dit kan gebeuren wordt hieronder beschreven in een aantal voorbeelden.
Kaakcorrectie bij een te korte onderkaak
Om een te kleine onderkaak te verlengen wordt de onderkaak links en rechts, in de buurt van de verstandskiezen, zo gespleten dat deze als het ware kan uitschuiven. Nadat de onderkaak naar voren is geschoven, bestaat er nog steeds contact tussen de bot-delen zodat ze weer aan elkaar kunnen groeien. Er hoeft geen stukje bot tussen worden gezet. Het geneest als een botbreuk: het bot groeit gewoon weer aan tot de normale dikte. De zenuw, die het gevoel in de onderlip en de kin verzorgt, loopt langs de botsnede en wordt dus wat gemanipuleerd wat na de operatie een tijdje een vreemd gevoel in de onderlip tot gevolg kan hebben. Dit vreemde gevoel is niet “zichtbaar”, het betreft alleen een gevoelszenuw en geen bewegingszenuw. In de meeste gevallen is dit gevoel na enkele weken hersteld. Bij sommige personen kan dit herstel van het gevoel enkele maanden duren. Een enkele keer blijft een “ander” gevoel bestaan zonder dat dit de functie van de lip benadeelt.
Tijdens de operatie wordt de onderkaak in de gewenste stand tegen de onderkaak geplaatst. Daarna kunnen de beide kaakdelen van de onderkaak met schroefjes met elkaar worden verbonden. De mond kan dan na de operatie weer worden geopend. In sommige gevallen bemoeilijkt een nog niet doorgebroken verstandskies het maken van een botsnede. In dat geval wordt de verstandskies geruime tijd van tevoren (langer dan zes maanden) verwijderd.
Kaakcorrectie bij een te korte bovenkaak
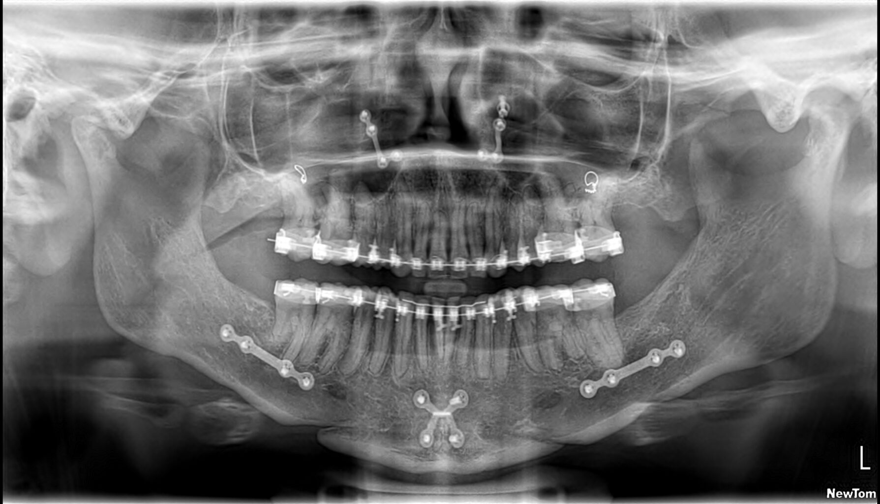
Hierbij wordt een horizontale botsnede aangebracht door de neus-bijholten in de bovenkaak en door het neustussenschot. Tijdens deze operatie wordt de bovenkaak in de gewenste richting verplaatst. Soms ontstaat door de manier van verplaatsen van de bovenkaak tijdens de operatie een tekort aan bot. In dat geval wordt een stukje bot uit de onderkaak genomen of uit de bekkenkam. In de regel kan de bovenkaak met staaldraadjes of schroefjes voldoende stevig worden bevestigd, waardoor de mond na de operatie gewoon weer kan worden geopend. De aangebrachte schroefjes en metaaldraadjes behoeven in de regel later niet te worden verwijderd.
Een te korte bovenkaak leidt tot een stand van het gebit waarbij de ondertanden voor de boventanden terecht komen bij dichtbijten. Om dit te corrigeren wordt de bovenkaak los gemaakt van de schedel en naar voren verplaatst naar de van te voren geplande positie. Deze operatie vindt plaats via de mond.
Kaakcorrectie bij een te grote, te lange, onderkaak
Een te grote onderkaak wordt naar achteren verplaatst door een verticale botsnede te maken in de onderkaak. Hierna wordt het deel waar het kaakkopje aan vast zit een beetje naar buiten gehouden. Dan kan de onderkaak naar achteren worden geplaatst waardoor de bot-stukken elkaar gedeeltelijk overlappen. Er wordt dus geen stukje bot uitgehaald. Deze methode kan “via de mond” worden uitgevoerd waardoor uitwendig geen litteken achterblijft. Het komt vrijwel niet meer voor dat na deze ingreep de boven- en onderkaak aan elkaar bevestigd hoeven te worden met staaldraadjes. In verreweg de meeste gevallen worden alleen elastiekjes aan de ‘slotjes’-beugel gebruikt om na de operatie de kaken in de juiste positie ten opzichte van elkaar te houden. Het bot zelf wordt tijdens de operatie met kleine titanium schroefjes en plaatjes aan elkaar geschroefd. De mond kan dus meestal meteen na de operatie weer worden geopend.
Combinatie van operatie van boven- en onderkaak, bi-maxillair
Er kan ook een combinatie van het veranderen van boven- en onderkaak worden uitgevoerd.
Kaakcorrectie bij een verticaal te hoge bovenkaak, ‘gummy smile’
Als bij praten en lachen storend veel tandvlees zichtbaar is, kan de bovenkaak omhoog geopereerd worden.
Verplaatsing van gedeelten van de kaak
Soms is alleen het verplaatsen van een deel van de kin voldoende.
De operatie wordt digitaal en 3D gepland
Als de orthodontische voorbereiding voor de operatie ver gevorderd is, wordt de kaakoperatie door de kaakchirurgen digitaal gepland in 3D.
Met een prachtig digitaal planningsprogramma in samenwerking met het UMCG, wordt bepaald wat het mooiste resultaat geeft. Hieronder geven we voorbeelden van hoe zo’n planning er uit kan zien. In dit voorbeeld wordt de bovenkaak verplaatst, de onderkaak en de kin. Vaak kan de operatie ook beperkt worden tot alleen een onderkaak of alleen een bovenkaak. Het is maar net wat per specifiek geval de beste oplossing is.




en het effect daarvan op de ‘weke delen’ zoals lippen en kin en profiel.


Nu kan dee kaakchirurg goed voorbereid de operatie plannen.
De operatie
Voor de operatie, die onder narcose plaatsvindt, wordt een datum afgesproken. Op de dag van de opname of in de week ervoor wordt lichamelijk onderzoek gedaan, evenals bloed- en urineonderzoek. Soms wordt ook een halve liter bloed afgenomen, die als het nodig is, tijdens de operatie kan worden teruggegeven. De MKA-chirurg legt het verloop van de operatie nog eens uit en de anesthesist (narcotiseur) bespreekt de gang van zaken rond de narcose. Om een vergelijking mogelijk te maken, worden er lichtfoto’s gemaakt van het gezicht en het gebit. Verder wordt ongeveer één uur voor de operatie de premedicatie toegediend. Dit zijn medicijnen die het lichaam alvast voorbereiden op de narcose. Hierdoor ontstaat een rustig gevoel, en vaak ook een droge mond.
Na de operatie
De meeste mensen hebben na de operatie nauwelijks last van pijn, maar wel van zwelling. Vaak heeft men wel het gevoel van ongemak wanneer de kiezen op elkaar vastzitten. Een beetje keelpijn komt vaak voor.
Na de operatie is het gezicht (soms erg) gezwollen ondanks het feit dat via een infuus gedurende één of twee dagen medicijnen worden toegediend die het zwellen van het gezicht tegengaan. De zwelling wordt vaak na drie dagen snel minder. Het is belangrijk dat bezoekers van tevoren op de hoogte worden gebracht van deze zwelling, zodat zij hiervan niet vreemd opkijken. De eerste dagen alleen bezoek van de aller naasten is het verstandigst.


Om de zwelling te beperken wordt naast de medicatie (sinds begin 2022) het gezicht gekoeld met een koelings-masker. Dit gebeurt in het ziekenhuis direct na de ingreep tot 24 uur na de ingreep. Er stroomt water van circa 18 graden Celsius door dit masker.
Soms komt na de operatie een beetje bloed uit de mond. Ook uit de neus kan de eerste dagen wat bloed komen. De neus kan dan beter niet hard gesnoten worden, maar kan het beste worden “opgehaald”.
De duur van de opname in het ziekenhuis varieert meestal van twee tot drie dagen. Tijdens deze dagen worden controlefoto’s gemaakt.
Zo nodig zal met de mondhygiënist over de verzorging van de mond worden gesproken. Door het gebruik van chloorhexidine spoelmiddel (antibacterieel) kan wat bruinige aanslag op uw tanden komen. Dit kan de mondhygiënist er later gemakkelijk af polijsten.
Hoogst zelden worden de onder- en bovenkaak nog aan elkaar bevestigd door middel van staaldraadjes. Deze worden na vier tot zes weken weer verwijderd. In deze periode kan alleen vloeibaar voedsel worden gebruikt.
Na een onderkaaksoperatie kan er een doof plekje in de onderlip zijn, doordat de zenuw die het gevoel ter plekke verzorgt vaak wat is opgerekt bij de operatie. Dit is hierboven beschreven onder het kopje ‘Kaakcorrectie bij een te korte onderkaak’.
Weer naar huis
Na ontslag uit het ziekenhuis vinden nog een paar poliklinische controles plaats om te kijken hoe de genezing verloopt. De kaakgewrichten zullen in het begin wat stijf zijn. Het praten moet even wennen.
De operatie heeft eigenlijk kunstmatige botbreuken toegebracht. Deze genezen als botbreuken in een week of zes. Gedurende die zes weken zult u zacht eten moeten eten om de botten te ontzien tijdens het genezingsproces. Dat betekent eten met de blender.
Weer naar de orthodontist
Twee of drie weken na de operatie ziet de orthodontist u graag weer terug.
De zwelling is dan bijna alweer voorbij. U kunt de mond nog niet ver open doen. De kaken staan in de nieuwe stand op elkaar. De orthodontische nabehandeling duurt dan nog gemiddeld 6 maanden en is een soort van fine-tuning van hoe de tanden en kiezen in de nieuwe kaak-verhouding op elkaar passen. Aan het eind van die behandeling worden spalkjes achter de tanden geplaatst. vaak wordt ook nog een uitneembare retentie-beugel op maat gemaakt en meegegeven om ’s nachts te dragen.
Wennen
Het gebit en de hele mond moeten nog geruime tijd wennen aan de nieuwe stand en de nieuwe verhoudingen van kaken en spieren. Alles moet weer op elkaar ingespeeld raken en dat kost wat tijd.


Meer informatie
Bij vragen over de kaakoperatie kunt u contact opnemen met de polikliniek Mondziekten en Kaak- en Aangezichtschirurgie van het MCL.


De Nederlandse Vereniging voor Mondziekten, Kaak- en Aangezichts-chirurgie heeft een folder gemaakt met uitleg over de verschillende operaties. Hierin vindt u ook tekeningen van de operatietechnieken:
folder-kaakcorrecties
Kaakchirurg
Nederlandse Vereniging voor Mondziekten, Kaak- en Aangezichtschirurgie, www.kaakchirurg.nl
De moderne naam voor de kaakchirurg is MKA chirurg (Mond-, Kaak- en Aangezichtschirurgie).