Als je, bijvoorbeeld door een ongeluk, één of meer voortanden kwijtraakt, is dat een dramatische ervaring. Vaak wordt er nog alles aan gedaan om de beschadigde voortand(en) te behouden en weer op te knappen, maar dat lukt niet altijd.
Als een gerestaureerde voortand geen goede toekomst meer heeft, komt de vraag op wat het alternatief kan zijn. Het in zo’n geval een mooie behandel-optie zijn om op die plek een eigen kiesje te laten zetten, getransplanteerd van achter uit de mond, door een kaakchirurg.
Dat kiesje wordt vlot daarna door een kundige esthetisch tandarts opgebouwd tot de vorm van een voortand en het groeit vast op die plek in de kaak. De orthodontist beweegt daarna heel voorzichtig de nieuwe tand zodat die mooi in de tandboog komt. Dan is er op die plek geen implantaat nodig, want je hebt weer een eigen ’tand’ op die plek zitten. Zo’n behandeling noemt men autotransplantatie en daar is een heel team voor toegerust. Auto-transplantatie van een kiesje betekent transplantatie van een kiesje bij jezelf (autos = zelf).
Deze behandelmethode bestaat al zo’n 50 jaar. Maar de laatste jaren is het beter uit te voeren, omdat de plek waarheen getransplanteerd gaat worden al precies op maat kan worden gemaakt nu er gepast wordt met een 3D geprint model van het te verplaatsen kiesje. Als het te verplaatsen kiesje dan eruit geopereerd is past het gelijk op de nieuwe plek. Zo heeft het minder te verduren. Vroeger moest gepast worden met het te verplaatsen kiesje, waardoor het al wat beschadigd raakte. Dat hoeft nu niet meer.


Als we denken dat een autotransplantatie een goede optie voor een patiënt is, worden eerst lichtfoto’s, röntgenfoto’s en gebitsafdrukken gemaakt en wordt een plan gemaakt in een speciaal team, het autotransplantatieteam.
Wie zitten in het Friese autotransplantatie-team?
In Fryslân hebben we sinds 2017 een autotransplantatie-team voor de hele provincie. Daarin nemen deel, naast de Friese orthodontisten, de volgende specialisten:



Tandarts-endodontologen zijn specialisten in zenuw-behandelingen en die zijn vaak nodig om een tand die beschadigd is te redden en ook om een te transplanteren kiesje dat al langer was doorgebroken klaar te maken voor de transplantatie. In Leeuwarden is Endo Leeuwarden gevestigd aan de Singelstraat 37.
Kiesjes die nog niet zijn doorgebroken kunnen in de regel vitaal, dat wil zeggen zonder zenuw-behandeling getransplanteerd worden. Dat is ideaal.



De MKA-chirurg opereert het te transplanteren kiesje naar de gewenste plek en maakt eerst op die plek precies genoeg ruimte voor de wortel.
De esthetische tandarts bouwt enkele dagen later het kiesje op tot de vorm van een mooie voortand. Robbin van der Wal, vanaf november 2025 in zijn praktijk aan de Emmakade 62 te Leeuwarden of in Sneek en Hans Scholtanus in IJlst.
De MKA-chirurg (kaakchirurg) dr. Aarnoud Hoekema werkt op de afdeling Mond-, Kaak- & Aangezichtschirurgie van Frisius MC Heerenveen (voorheen Tjongerschans ziekenhuis). Hij bespreekt vooraf de opties, de procedure, de risico’s en maakt een digitale scan van het te transplanteren gebitselement, om te zien of transplantatie een geschikte behandeloptie is.
Dan print hij het te transplanteren gebitselement uit in kunststof op 115% van de werkelijke grootte, als pas-malletje. Hiermee kan tijdens de operatie eerst gepast worden of de plek waar het kiesje heen getransplanteerd wordt wel de goede vorm heeft.
Pas als dat zo is, wordt het te transplanteren kiesje daadwerkelijk uit de kaak geopereerd en direct in het inmiddels pasklare gat geplaatst. Hierdoor is het trauma op het transplantaat zo klein mogelijk en de overlevingskans zo groot mogelijk.
Vaak wordt een kiesje van achter uit de mond voor in het gebit geplaatst door de kaakchirurg. Liefst een kiesje wat je eigenlijk wel kunt missen. De ruimte die daardoor achterblijft zal de orthodontist in de regel met de beugel weer zoveel mogelijk dicht schuiven.

De esthetisch tandarts dr. Hans Scholtanus of Robbin van der Wal bouwt daarna het getransplanteerde kiesje op tot een mooie voortand. Zij hebben zich speciaal toegelegd op esthetische tandheelkunde met composiet en werken in dit kader nauw samen met kaakchirurg Hoekema.
Het verschil met een gewone voortand is dan al haast niet meer te zien.
Als de nieuwe tand opgebouwd is, kan er een orthodontische bracket op geplaatst worden. Dan kan er een lichte kracht worden uitgeoefend op het verplaatste gebitselement. Dat is nodig om het goed aan te laten slaan op de nieuwe plek. Dat is het werk van de orthodontist. Het hele proces is onderling goed afgesproken, zodat de timing zo optimaal mogelijk kan zijn.



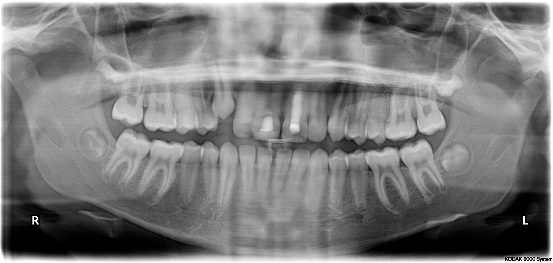
Aan de wat dikkere achterkant kun je zien dat deze nieuwe voortand eigenlijk een kiesje is. Rechts zie je nog de open plek waar het kiesje vandaan gekomen is.
De beugel gaat die plek nog dicht trekken.
De orthodontist brengt daarna een bracket aan op de nieuwe, opgebouwde, tand en begint heel zachtjes een lichte kracht aan te brengen. Zo kan de getransplanteerde tand het beste ‘vast’ groeien op de nieuwe plek.
Het is van groot belang dat al de tijd heel goed gepoetst wordt. Het gebit moet extra schoon zijn rond het transplantaat, anders raakt het tandvlees eromheen ontstoken en kan het transplantaat verloren gaan. Niet goed poetsen is de rode draad bij complicaties met transplantaten!
De Friese orthodontisten uit Sneek, Heerenveen, Drachten, Leeuwarden en Harlingen participeren in dit autotransplantatie-team. Dit team komt in de regel om de twee maanden bijeen om de patiënten uit de verschillende praktijken te bespreken en de behandelingen te evalueren en te coördineren.


Je ziet dat nog aan de binnenkant, omdat je daar het knobbeltje van het kiesje nog ziet. Op deze foto zie je ook de al bijna dicht-geschoven plekken waar die kiesjes vandaan geopereerd werden, meer achter in de mond.







