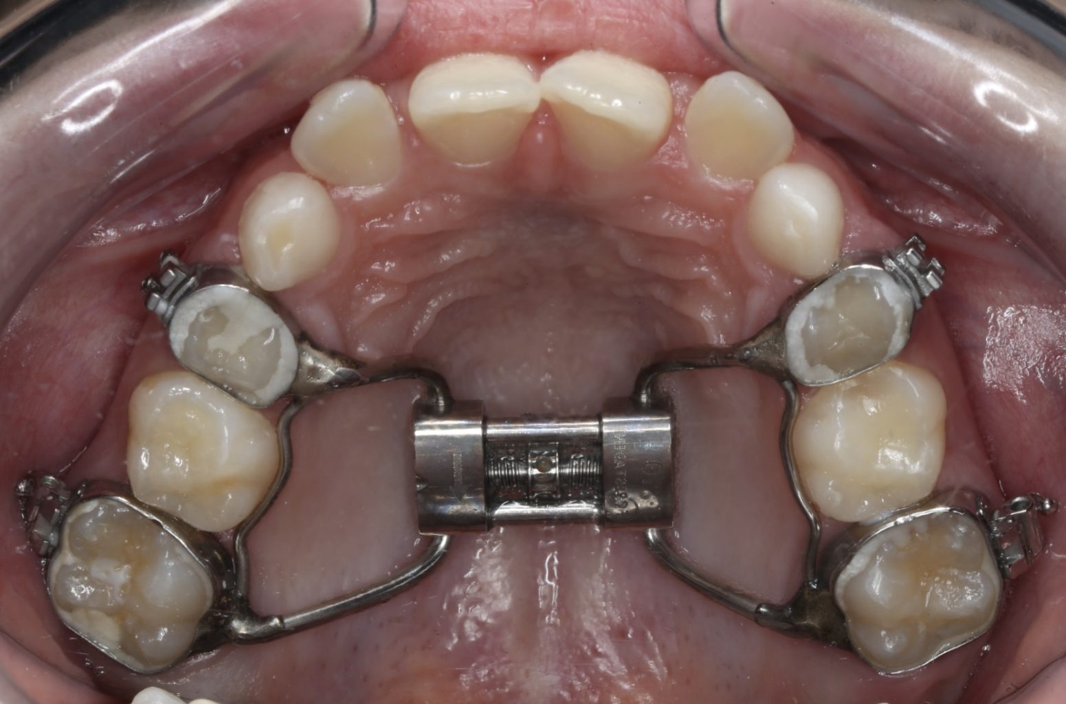
De Hyrax, ook wel ‘Rapid Maxillary Expansion’ (RME) genoemd, verbreedt vlot een te smalle bovenkaak. Deze beugel wordt ook wel ‘spin’ genoemd of meer poëtisch ‘vlinderbeugel’.
De Hyrax wordt in de regel gemaakt op 4 ringetjes om kiezen in de bovenkaak. Hij zit vast in de mond. Deze beugel mat thuis geleidelijk in de breedte bijgesteld worden. Wij oefenen dat met u.
Wij houden van ‘slow rapid expansion’ – dus niet al te snel.*
Daarom vragen wij u om één slagje (0,2 mm) te verbreden, om de dag, met de pijl mee, van voor naar achter. Het tempo is dan 0,1 mm verbreding per dag. (Sneller bijstellen, 1 of 2 keer per dag, hoeft van ons niet. Het geeft volgens onderzoek niet een beter effect maar wel iets meer pijn en bijwerkingen.)
De orthodontist vertelt bij een van de volgende controles wanneer u kunt stoppen met verstellen.
Als de bovenkaak breed genoeg is blijft deze beugel in de regel nog wel 6 maanden zitten om het resultaat zoveel mogelijk te stabiliseren. Intussen kan deze beugel wel gecombineerd worden met bijvoorbeeld een slotjesbeugel in de bovenkaak.

Wennen aan de hyrax
De eerste week heb je wat last van blaartjes aan de binnenkant van de wang, waar de metalen delen van de hyrax de wang raken. Gelukkig went dat snel.. Bij het verstellen voel je wat druk, ook in de neus. Het ‘scharnierpunt’ waar de verbreding begint ligt aan de bovenkant van je neus. Daarom voel je ook daar wat druk. Dat is normaal. Verder kan een spleetje ontstaan in het midden, tussen je voortanden. Dat gaat in de regel vanzelf dicht en anders wel met de vaste apparatuur die na deze beugel volgt.
Bij pijn of hoofdpijn in het begin mag je paracetamol gebruiken.
Eten
Omdat bandjes om de kiezen zitten is het belangrijk dat voorzichtig gedaan wordt met bijten op harde dingen zoals bijvoorbeeld: lolly’s, borrelnootjes e.d. Door te bijten op zulke harde dingen kunnen de banden losgaan.
Melkkiezen
Bij jonge kinderen zijn de voorste kiesjes waar die aan vast moet, nog niet gewisseld. In dat geval maken wij de hyrax aan de voorkant om melkkiezen vast. Deze melkkiezen kunnen na verloop van tijd los gaan zitten, gewoon omdat ze gaan wisselen. Ze blijven dat natuurlijk in de beugel zitten. Schrik niet, het is dan tijd dat deze beugel verwijderd gaat worden. Soms gaan de losse melkkiezen gewoon mee uit.

Voorbeeld
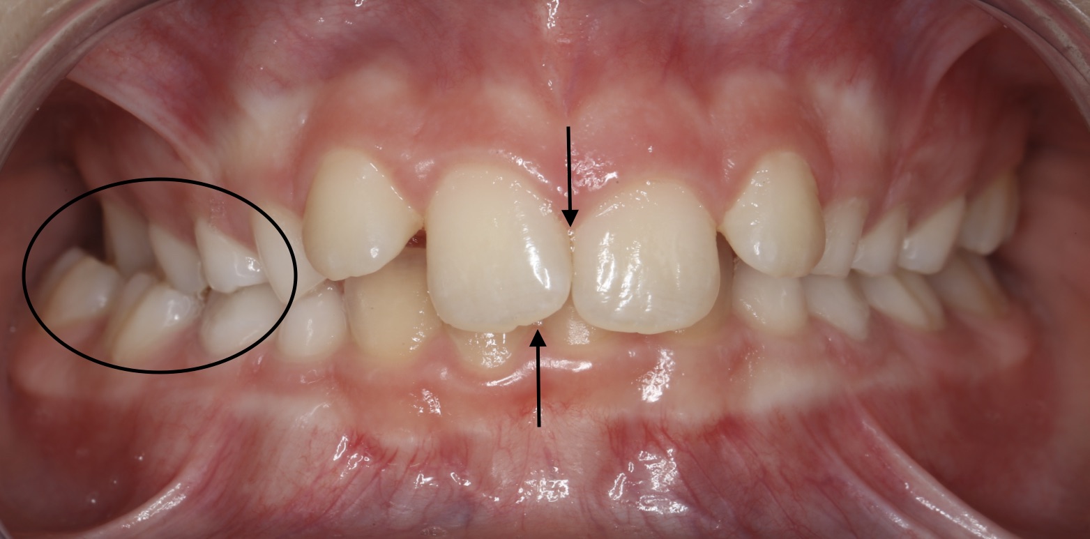
Hier laten wij een voorbeeld zien. Meisje van 10 jaar met een smalle bovenkaak. Hierdoor past de onderkaak er niet goed tussen en bijt ze aan de rechterkant (voor de kijkers links) in een kruisbeet.

De middens van boven- en ondertandboog zijn niet gelijk, omdat ze naar rechts in kruisbeet dichtbijt nu de onderkaak niet recht in de bovenkaak past.
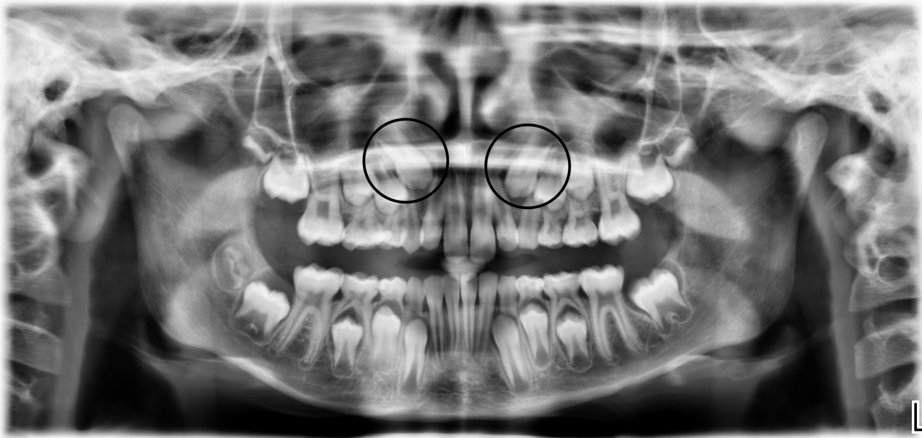
De röntgenfoto toont dat de blijvende hoektanden, die nu nog vrijwel naast de neusbodem in de kaak liggen, weinig ruimte zullen hebben om door te breken.

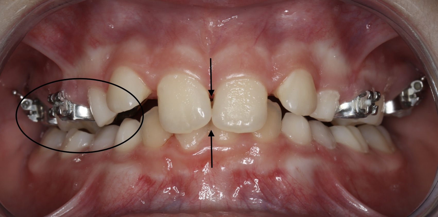
Na de verbreding is de kruisbeet opgeheven, de onderkaak bijt weer recht in de bovenkaak en we weten dat de hoektanden veel meer ruimte zullen ervaren als ze willen doorbreken.


De tijd tussen smal en breed is hier maar 6 weken, waarin om de dag versteld werd.
